Dr. med. Sascha Alexander Pietruschka

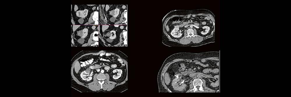
Die Anwendung von ablativen Verfahren hat sich in der klinischen Praxis etabliert. Nierentumoren bieten sich für den Einsatz von RFA und Mikrowelle an. Im Dietrich Bonhoeffer Klinikum Neubrandenburg blicken wir auf 15 Jahre Erfahrung mit mehr als 100 RFA/Mikrowellenablationen von Nierentumoren zurück. Im Vortrag werden die eigenen Erfahrungen und Ergebnisse vorgestellt. 

Dabei wird auf die Indikationsstellung, Vorbereitung, Durchführung, Nachuntersuchungsintervall, Komplikationen und Erfolgsrate eingegangen.

ENDLICH ERKANNT – PRAXISRELEVANTE CT ANATOMIE DES ABDOMEN

Professor Dr. med. Johannes Weßling

Back to the roots! Gute Kenntnisse der Anatomie sind der Schlüssel zur guten Planung, Durchführung und richtigen Diagnosestellung im CT des Abdomens. Lernen sie unverkrampft 

  • schnelle Orientierungspunkte für den Alltagsgebrauch
  • richtiges Kontrastmittel-Timing im Bild erkennen
  • Anatomie in Pathologie übersetzen 

Haben Sie es erkannt? Probieren Sie selbst im lockeren Fallquiz zum mitraten.

Eventdatum: Mittwoch, 11. Oktober 2023 17:00 – 18:00

Eventort: Online

Firmenkontakt und Herausgeber der Eventbeschreibung:

Canon Medical Systems GmbH
Hansemannstr. 67
41468 Neuss
Telefon: +49 (2131) 1809-0
Telefax: +49 (2131) 1809-139
http://de.medical.canon

Für das oben stehende Event ist allein der jeweils angegebene Herausgeber (siehe Firmenkontakt oben)
verantwortlich. Dieser ist in der Regel auch Urheber der Eventbeschreibung, sowie der angehängten
Bild-, Ton-, Video-, Medien- und Informationsmaterialien. Die United News Network GmbH
übernimmt keine Haftung für die Korrektheit oder Vollständigkeit des dargestellten Events. Auch bei
Übertragungsfehlern oder anderen Störungen haftet sie nur im Fall von Vorsatz oder grober Fahrlässigkeit.
Die Nutzung von hier archivierten Informationen zur Eigeninformation und redaktionellen Weiterverarbeitung
ist in der Regel kostenfrei. Bitte klären Sie vor einer Weiterverwendung urheberrechtliche Fragen mit dem
angegebenen Herausgeber. Eine systematische Speicherung dieser Daten sowie die Verwendung auch von Teilen
dieses Datenbankwerks sind nur mit schriftlicher Genehmigung durch die United News Network GmbH gestattet